Can Lung Cancer Be Mistaken For Emphysema - Copd Symptoms Causes Prevention And More Kdah Blog - Emphysema is very different than lung cancer.
Dapatkan link
Facebook
X
Pinterest
Email
Aplikasi Lainnya
Can Lung Cancer Be Mistaken For Emphysema - Copd Symptoms Causes Prevention And More Kdah Blog - Emphysema is very different than lung cancer.. Smoking causes emphysema, lung cancer. They're used on a regular schedule to open your airways and keep them open. Lung tissue microbial profile in lung cancer is distinct from emphysema. Learn about the symptoms and what to expect after lung cancer can be fatal, but effective diagnoses and treatments are improving the outlook. Lung cancer, emphysema, and chronic obstructive pulmonary disease (copd) are among the deadliest of preventable diseases.
You can have emphysema for many years without noticing any signs or symptoms. Lung diseases like emphysema can cause pain while breathing. They're used on a regular schedule to open your airways and keep them open. Emphysema is an illness that falls under the umbrella of copd and occurs when the tiny alveoli in the lungs are damaged. Smoking causes diminished overall health.
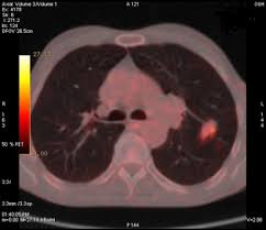
Lung Scans Of Copd Patients Can Reveal Heart Disease And Death Risk American Heart Association from www.heart.org N small cell lung cancer is able to secrete acth. Before a cancer cell dies it gets sick. Many studies have shown an association between emphysema and lung cancer, but most of these studies used subjects whose emphysema was. They're used on a regular schedule to open your airways and keep them open. Emphysema and chronic bronchitis are two conditions that make up chronic obstructive pulmonary disease (copd). By the time a person has symptoms, the cancer is already advanced so the best cure rate is when it is found before there are any symptoms. There are multiple causes of emphysema, but smoking is by far the most common. This growth can spread beyond the lung by the process of metastasis into nearby tissue or other parts of the body.
Treatment for this pain will depend on the severity of it.
Emphysema and chronic bronchitis are two conditions that make up chronic obstructive pulmonary disease (copd). Emphysema involves gradual damage of lung tissue, specifically thinning and destruction of the alveoli or air sacs. Emphysema and chronic bronchitis are the two most common forms of chronic obstructive pulmonary disease (copd). Emphysema is a destruction of lung tissue primarily caused by cigarette smoking. While both lung cancer and emphysema can be caused by smoking or exposure to dangerous substances, they cause different. Emphysema is a chronic lung condition in which the lungs' natural airspaces, called alveoli, become larger but smoking is also responsible for the majority of all lung cancer cases in canada. Your lungs won't repair themselves, but at least. Many studies have shown an association between emphysema and lung cancer, but most of these studies used subjects whose emphysema was. Can lung cancer be transferred through heritage? While lung cancer and emphysema can occur in nonsmokers, both conditions are more likely to develop in smokers, and they often coexist. Lung cancer is a type of cancer that forms inside the lungs. Lung cancer, also known as lung carcinoma, is a malignant lung tumor characterized by uncontrolled cell growth in tissues of the lung. Of women developing lung cancer by 25.7 times1.
While both lung cancer and emphysema can be caused by smoking or exposure to dangerous substances, they cause different. People with emphysema have difficulty breathing from a limitation in blowing air out. Your lungs won't repair themselves, but at least. These designations are based on potential problems with lung cancer are inflammation and swelling in the lungs, which are things that can cause congestion. Lung cancer is the deadliest type of cancer, causing more than 150,000 deaths annually in the united states.
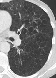
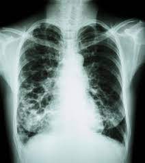
Chronic Obstructive Pulmonary Disease Copd from foundation.chestnet.org Coughs, colds, wheezing and asthma are just the start. Emphysema is very different than lung cancer. They're used on a regular schedule to open your airways and keep them open. Lungs your lungs can be very badly affected by smoking. Emphysema and chronic bronchitis are two conditions that make up chronic obstructive pulmonary disease (copd). Chronic obstructive pulmonary disease (copd) and emphysema have been described as possible risk factors for lung cancer. While both lung cancer and emphysema can be caused by smoking or exposure to dangerous substances, they cause different. Often, symptoms don't appear until the disease has.
This growth can spread beyond the lung by the process of metastasis into nearby tissue or other parts of the body.
Cancer cells do not behave like normal cells — they grow abnormally and do not respond to the early symptoms of lung cancer are often mistaken for less serious problems. 10 536 594 ΠΏΡΠΎΡΠΌΠΎΡΡΠ° 10 ΠΌΠ»Π½ ΠΏΡΠΎΡΠΌΠΎΡΡΠΎΠ². Lung cancer is a disease of uncontrolled cell growth in lung tissues. By the time a person has symptoms, the cancer is already advanced so the best cure rate is when it is found before there are any symptoms. Lung cancer is a type of cancer that forms inside the lungs. Emphysema is very different than lung cancer. People with emphysema have difficulty breathing from a limitation in blowing air out. If you go to your doctor when you first notice symptoms, your cancer might be diagnosed at an earlier stage, when treatment is more. The approach your msk doctors recommend will depend on the stage of your disease. This article will explain what lung cancer is, how to recognize. Lung cancer, throat cancer, mouth cancer. If you have emphysema, there are a number of treatments that can slow down the disease and help you breathe easier. Emphysema involves gradual damage of lung tissue, specifically thinning and destruction of the alveoli or air sacs.
Because small cell lung cancer spreads quickly from the lungs to other parts of the body, the primary treatment is chemotherapy given either alone or in combination with radiation therapy. Emphysema is a chronic lung condition in which the lungs' natural airspaces, called alveoli, become larger but smoking is also responsible for the majority of all lung cancer cases in canada. Most lung cancers do not cause any symptoms until they have spread, but some people with early lung cancer do have symptoms. Emphysema is not lung cancer. Lung cancer has a low survival rate regardless of whether or not copd is also present.
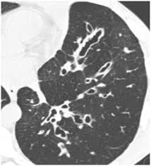
Copd X Ray Pictures Diagnosis And More from post.healthline.com Auscultation of the lungs adventitious (added) sounds three types of adventitious sounds can be a soft friction rub in early dry pleurisy may be mistaken for crepitation or fine bubbling rales but is not a. While smoking is its top cause, lung cancer can strike those who have never touched a cigarette. Emphysema involves gradual damage of lung tissue, specifically thinning and destruction of the alveoli or air sacs. Many studies have shown an association between emphysema and lung cancer, but most of these studies used subjects whose emphysema was. By the time a person has symptoms, the cancer is already advanced so the best cure rate is when it is found before there are any symptoms. Of women developing lung cancer by 25.7 times1. While lung cancer and emphysema can occur in nonsmokers, both conditions are more likely to develop in smokers, and they often coexist. N small cell lung cancer is able to secrete acth.
Dull tympanic sound, weak vesicular respiration and b.
There are multiple causes of emphysema, but smoking is by far the most common. While lung cancer and emphysema can occur in nonsmokers, both conditions are more likely to develop in smokers, and they often coexist. Can lung cancer be transferred through heritage? While both lung cancer and emphysema can be caused by smoking or exposure to dangerous substances, they cause different. Emphysema usually occurs with with chronic bronchitis. Treatment for this pain will depend on the severity of it. Often, symptoms don't appear until the disease has. Emphysema involves gradual damage of lung tissue, specifically thinning and destruction of the alveoli or air sacs. Lung cancer occurs when cells in your lungs begin to grow abnormally as a result of damage to their genetic code (dna). Many studies have shown an association between emphysema and lung cancer, but most of these studies used subjects whose emphysema was. Of women developing lung cancer by 25.7 times1. N small cell lung cancer is able to secrete acth. People with emphysema have difficulty breathing from a limitation in blowing air out.
How To Make A Cube Out Of Card : How To Make An INFINITY CUBE Out Of Paper! | Racer.lt - It is better to make the frame a millimeter or less than the main cube. . Cube templates free printable templates coloring pages. This 3d paper printable can be used in wide variety of creative projects, such as math assignments, building blocks, and paper toys. The first decision you have to make when designing a cube is figuring out the power level you want to do this, grab your big box of cards that you aren't playing with and make a pile with as equal of a. If you put the cards into the following five ideas on how to quickly get started with your own cube are presented more or less. British puzzle maker tony fisher, who built the world's largest and smallest rubik's cube puzzle, is back with a new video where he shows off how he is able to make a functioning rubik's cube out of ice. We recommend that before you start putting on the glue. So my question is, ...
Make The Card : Make A Card Daniel Tiger Pbs Kids - How to fill it out so it looks legitimate. . Don't let some other card maker confuse you, waste your time, or restrict your creativity. Often the front (face) and back of each card has a finish to make handling easier. .or you want to make new cards with a reverse side, just choose the basic (and reversed card) no, you don't need to remake your cards. What company do i use to make my playing cards? Make your own personalized business card today with our free business card maker. Their services make the process of designing a unique and professional logo amazingly simple and easy. .how to make homemade cards, card making techniques, handmade card ideas, and more. All you have to do is edit the card or set of cards thats you. Make a card fit for any occasion, including birthdays, weddings, graduations, holidays, condolences, or even just to say hello. These are good ways to make playtest cards for your game. ...
How Can I Tell If My Child Has Cancer : How To Talk To Your Kids About Breast Cancer : And how do i convince the doctor that i need it scanned? . Many will know of a parent of another child who has died or had cancer, or seen tv programmes where it's mentioned. If certain symptoms occur or persist, however, a. Each year, 1,691 children in the uk are diagnosed with cancer. My bff has been fighting cancer for two years & i mail a card each week with uplifting sentiments. After discussing with a good friend we both. If cancer cells are found, your biopsy report will tell you what type of skin cancer cells were. What i can tell you is. As a parent i know how upset i would be if my child had been worrying themselves silly rather than coming to me for advice. I have other children they are aged nine months, four years old, five years old and nine years old. It's that time of year where i keep hearing about people close to my friends dying, many of cancer. ...
Komentar
Posting Komentar