Can Lung Cancer Be Mistaken For Bronchitis : Lung Cancer Diagnosis Md Anderson Cancer Center - Pneumonia in people with lung cancer.
Dapatkan link
Facebook
X
Pinterest
Email
Aplikasi Lainnya
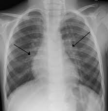
Can Lung Cancer Be Mistaken For Bronchitis : Lung Cancer Diagnosis Md Anderson Cancer Center - Pneumonia in people with lung cancer.. The cancer can happen in any part of the lung tissue. Lung cancer most often spreads to the liver, the adrenal glands, the bones, and the brain. This, in turn, may cause collapse of the air sacs surrounding the tumor. If the doctor sends you home with the flu or some other condition, it might mean you don't get the pneumonia treatment you need. That's because the symptoms of emphysema can easily conceal.
That's because the symptoms of emphysema can easily conceal. Sometimes, people with pneumonia may have symptoms similar to lung cancer. So far 2 biopsies have turned up negative for cancer, though the lesions are obviously suspicious for cancer. Pulmonary emboli are blood clots that have formed in other regions of the body and have then traveled to the lungs. About 230,000 new cases of lung cancer are diagnosed annually, and about 160,000 lung cancer patients do not survive for more than five years.
Non Small Cell Lung Cancer Nsclc Imaging Practice Essentials Radiography Computed Tomography from img.medscapestatic.com Lung cancer results in more fatalities in the united states than any other kind of cancer. Many people who are diagnosed with lung cancer say that their symptoms were first dismissed, even by doctors, as being due to a cold, bronchitis, or other infections. Lung cancer is the leading cause of cancer death in both men and women, and about 228,150 new cases will be diagnosed this year. Boop can mimic lung cancer.and lung cancer can quite easily be mistaken as a pneumonia. My mom's situation is a little different in that she had breast cancer over 11 years ago. Doctors can misdiagnose a serious case of pneumonia as: Pulmonary emboli are blood clots that have formed in other regions of the body and have then traveled to the lungs. It can also show the size, shape, and position of any lung tumors and can help find enlarged lymph nodes that might contain cancer that has spread.
Repeated respiratory infections, such as bronchitis or pneumonia, can be a sign of lung cancer.
Costochondritis is most commonly associated with chest pain symptoms, and so are some types of cancer. The cancer can happen in any part of the lung tissue. When people experience chest pain, they often fear it is a sign of a heart attack or other cardiac issues. Associated complaints such as weight loss, night sweats, fatigue, etc would also make it more concerning that you might have a malignant cause of your cough. How copd can trigger the onset of lung cancer is not entirely clear but, as a group of progressive obstructive diseases —which includes chronic bronchitis and emphysema)—copd is known to cause profound and irreversible changes to the airways. It can also show the size, shape, and position of any lung tumors and can help find enlarged lymph nodes that might contain cancer that has spread. Symptoms of lung tumors that have spread to other areas of the body depends upon their location and size. Generally, bronchitis will resolve over time, while lung cancer would be expected to have more and more symptoms and problems. Symptoms of metastatic lung tumors depend on the location and size. Unraveling the tangled knot of symptoms that are shared between emphysema, chronic obstructive pulmonary disease (copd), and lung cancer can be particularly challenging, but also critically important. Possibly scar tissue, possibly nothing, possibly lung cancer, she said. Wheezing or hoarseness, which cause blockage or inflammation in the lungs. Copd has been linked to smoking, so simply not smoking, or quitting, will greatly reduce your risks of suffering from this condition.
Radiologic imaging is rarely diagnostic. In some cases, bronchitis can be chronic, meaning it lasts for more than a few months or keeps coming back. Boop can mimic lung cancer.and lung cancer can quite easily be mistaken as a pneumonia. Wheezing or hoarseness, which cause blockage or inflammation in the lungs. So far 2 biopsies have turned up negative for cancer, though the lesions are obviously suspicious for cancer.
Lung Cancer Cases Could Be Mistaken For Covid Charities Warn Lung Cancer The Guardian from i.guim.co.uk Lung cancer is the leading cause of cancer death in both men and women, and about 228,150 new cases will be diagnosed this year. Associated complaints such as weight loss, night sweats, fatigue, etc would also make it more concerning that you might have a malignant cause of your cough. It can also show the size, shape, and position of any lung tumors and can help find enlarged lymph nodes that might contain cancer that has spread. Lung cancer is an uncontrolled and uncoordinated overgrowth of the lung tissue. Unraveling the tangled knot of symptoms that are shared between emphysema, chronic obstructive pulmonary disease (copd), and lung cancer can be particularly challenging, but also critically important. My mom's situation is a little different in that she had breast cancer over 11 years ago. However, herrera says, if you. Repeated respiratory infections, such as bronchitis or pneumonia, can be a sign of lung cancer.
Symptoms of lung tumors that have spread to other areas of the body depends upon their location and size.
Pneumonia can be mild and only require a week of treatment before you can. Lung cancer occurs when there is an uncontrolled growth of abnormal cells in the lungs. This test can also be used to look for masses in the adrenal glands, liver, brain, and other organs that might be due to the lung cancer spread. About 230,000 new cases of lung cancer are diagnosed annually, and about 160,000 lung cancer patients do not survive for more than five years. Symptoms of lung tumors that have spread to other areas of the body depends upon their location and size. Repeated respiratory infections, such as bronchitis or pneumonia. Often, people with recurrent bouts of pneumonia tend to have unidentified lung cancer that can progress to advanced stages without appropriate treatment. Other signs and symptoms of lung cancer include: However, the symptoms of lung cancer differ vastly from bronchitis which is one of the commonest affections of chronic smokers. Since cough, shortness of breathe, wheezing , and fatigue are common symptoms of both diseases, it is possible to misdiagnose pneumonia at first. Possibly scar tissue, possibly nothing, possibly lung cancer, she said. Lung cancer is the leading cause of cancer death in both men and women, and about 228,150 new cases will be diagnosed this year. Other medical conditions that may produce lung cancer symptoms.
Symptoms of metastatic lung tumors depend on the location and size. Symptoms of lung tumors that have spread to other areas of the body depends upon their location and size. Persistent chest infections can be signs of something more serious than pneumonia, and unfortunately, it. Repeated episodes of pneumonia or bronchitis can be seen with either disease. lung cancer does have some additional symptoms, such as coughing up blood, lack of appetite, and weight loss. Doctors can misdiagnose a serious case of pneumonia as:
Symptoms That Mean You Have Acute Bronchitis Everyday Health from images.everydayhealth.com Repeated respiratory infections, such as bronchitis or pneumonia. So far 2 biopsies have turned up negative for cancer, though the lesions are obviously suspicious for cancer. This, in turn, may cause collapse of the air sacs surrounding the tumor. However, it can occur in other heart and lung diseases. Many of the early symptoms of lung cancer, such as shortness of breath and coughing up blood, are also associated with other diseases. Furthermore, lung cancer symptoms, such as a persistent cough, back pain or weight loss, can resemble a cold or bronchitis and may not raise suspicions of lung cancer. Associated complaints such as weight loss, night sweats, fatigue, etc would also make it more concerning that you might have a malignant cause of your cough. Lung cancer is the leading cause of cancer death in both men and women, and about 228,150 new cases will be diagnosed this year.
Lung cancer may also be diagnosed as pleurisy, which results from the inflammation of the membrane which lines the inside of the chest cavity.
It can also show the size, shape, and position of any lung tumors and can help find enlarged lymph nodes that might contain cancer that has spread. About 30% to 40% of people with lung cancer have some symptoms or signs of metastatic disease. Radiologic imaging is rarely diagnostic. Malignant tumors trigger inflammation in surrounding normal lung tissue, and they may obstruct your airways and interfere with normal airflow. In some cases, bronchitis can be chronic, meaning it lasts for more than a few months or keeps coming back. A recent scan for some clavicle swelling found 3 bone lesions and a lung nodule. Respiratory infections repeated infections such as pneumonia and bronchitis are common before lung cancer is diagnosed. Furthermore, lung cancer symptoms, such as a persistent cough, back pain or weight loss, can resemble a cold or bronchitis and may not raise suspicions of lung cancer. However, the symptoms of lung cancer differ vastly from bronchitis which is one of the commonest affections of chronic smokers. Wheezing or hoarseness, which cause blockage or inflammation in the lungs. However, it can occur in other heart and lung diseases. It can also be helpful to request a second opinion of any diagnosis if the recommended course of treatment does not promptly alleviate the issue. Costochondritis is most commonly associated with chest pain symptoms, and so are some types of cancer.
How To Make A Cube Out Of Card : How To Make An INFINITY CUBE Out Of Paper! | Racer.lt - It is better to make the frame a millimeter or less than the main cube. . Cube templates free printable templates coloring pages. This 3d paper printable can be used in wide variety of creative projects, such as math assignments, building blocks, and paper toys. The first decision you have to make when designing a cube is figuring out the power level you want to do this, grab your big box of cards that you aren't playing with and make a pile with as equal of a. If you put the cards into the following five ideas on how to quickly get started with your own cube are presented more or less. British puzzle maker tony fisher, who built the world's largest and smallest rubik's cube puzzle, is back with a new video where he shows off how he is able to make a functioning rubik's cube out of ice. We recommend that before you start putting on the glue. So my question is, ...
Make The Card : Make A Card Daniel Tiger Pbs Kids - How to fill it out so it looks legitimate. . Don't let some other card maker confuse you, waste your time, or restrict your creativity. Often the front (face) and back of each card has a finish to make handling easier. .or you want to make new cards with a reverse side, just choose the basic (and reversed card) no, you don't need to remake your cards. What company do i use to make my playing cards? Make your own personalized business card today with our free business card maker. Their services make the process of designing a unique and professional logo amazingly simple and easy. .how to make homemade cards, card making techniques, handmade card ideas, and more. All you have to do is edit the card or set of cards thats you. Make a card fit for any occasion, including birthdays, weddings, graduations, holidays, condolences, or even just to say hello. These are good ways to make playtest cards for your game. ...
How Can I Tell If My Child Has Cancer : How To Talk To Your Kids About Breast Cancer : And how do i convince the doctor that i need it scanned? . Many will know of a parent of another child who has died or had cancer, or seen tv programmes where it's mentioned. If certain symptoms occur or persist, however, a. Each year, 1,691 children in the uk are diagnosed with cancer. My bff has been fighting cancer for two years & i mail a card each week with uplifting sentiments. After discussing with a good friend we both. If cancer cells are found, your biopsy report will tell you what type of skin cancer cells were. What i can tell you is. As a parent i know how upset i would be if my child had been worrying themselves silly rather than coming to me for advice. I have other children they are aged nine months, four years old, five years old and nine years old. It's that time of year where i keep hearing about people close to my friends dying, many of cancer. ...
Komentar
Posting Komentar